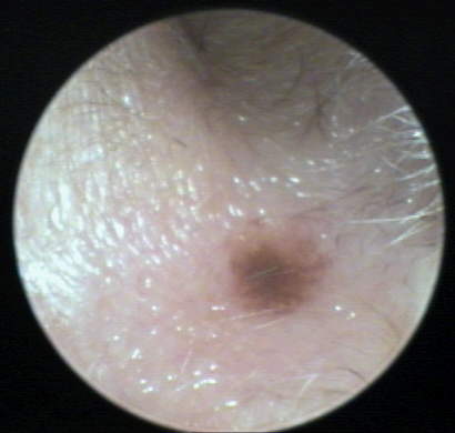
The patient is a 75 year old semi-retired physician known to the practice for 17 years. Wearing binaural hearing aids for that same period, he was seen for a service visit to replace a battery compartment on a two year old CIC instrument AD. Routine VO examination of both ears revealed a suspicious discoloration on the floor of the AD concha (below). The lesion was NOT present at time of a routine service visit 6 months earlier. A Polaroid photograph was provided to the patient with a referral for dermatological consultation.

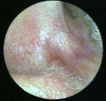
Medical examination indicated the possibility of an early malignancy. Histological frozen section at time of surgery verified the lesion as a melanoma which was excised with clear tissue margins. The figure below, AD 6 months post-operatively, shows a scar at the conchal site of excision. The patient continues successful use of binaural CICs.
